Mòn Men Răng, Gây Tê Buốt: Nguyên Nhân Và Cách Bảo Vệ Răng Hiệu Quả
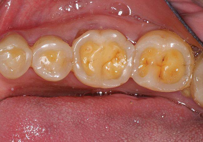
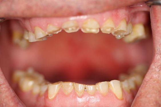
Mòn men răng là tình trạng lớp men cứng bảo vệ bên ngoài răng bị mất đi, khiến ngà răng nhạy cảm bên trong lộ ra. Đây là nguyên nhân chính dẫn đến ê buốt, khó chịu khi ăn uống đồ nóng, lạnh, chua, ngọt và làm tăng nguy cơ sâu răng. Hiểu rõ nguyên nhân sẽ giúp bạn chủ động phòng ngừa và điều trị kịp thời.
Những Nguyên Nhân Phổ Biến Gây Mòn Men Răng:
Chải Răng Sai Cách: Sử dụng bàn chải lông cứng và chải răng theo chiều ngang với lực mạnh là thói quen gây mòn men răng, đặc biệt ở vùng cổ răng, một cách nhanh chóng.
Chế Độ Ăn Uống Giàu Axit: Việc thường xuyên tiêu thụ thực phẩm và đồ uống có tính axit cao (như nước ngọt có gas, nước trái cây chua, đồ ngâm chua) hoặc nhiều đường sẽ làm mềm và ăn mòn men răng theo thời gian.
Các Thói Quen Xấu: Nghiến răng khi ngủ (bệnh lý nghiến răng) hoặc có thói quen cắn mở vật cứng (như nắp chai, cắn chỉ) tạo ra lực ma sát lớn, làm mòn các mặt nhai của răng.
Các Bệnh Lý Răng Miệng: Sâu răng và viêm nướu không được điều trị không chỉ phá hủy cấu trúc răng mà còn tạo môi trường thuận lợi đẩy nhanh quá trình mòn men và tổn thương răng.
.jpg)
.jpg)
.jpg)
Hình ảnh minh họa
Giải Pháp Phòng Ngừa Và Điều Trị:
Để bảo vệ men răng, bạn nên sử dụng bàn chải lông mềm, chải răng nhẹ nhàng theo chuyển động tròn hoặc dọc, sử dụng kem đánh răng chứa Flour và hạn chế đồ ăn thức uống có hại. Đặc biệt, khi nhận thấy các dấu hiệu như răng ê buốt, quan sát thấy vết khuyết hình chữ V ở cổ răng hoặc bề mặt răng bóng mờ, bạn cần đến gặp nha sĩ sớm.
Tại Nha Khoa Trà Nóc, chúng tôi cung cấp các giải pháp chuyên sâu từ thăm khám, tư vấn đến điều trị mòn men răng như bôi vecni Flour, hàn trám bít cổ răng hoặc phục hình thẩm mỹ để bảo vệ răng, loại bỏ cảm giác ê buốt và lấy lại vẻ đẹp tự nhiên cho nụ cười của bạn.
NHA KHOA TRÀ NÓC - ĐẾN LÀ AN TÂM
Hotline: 0793.929.388
Địa chỉ: 110 Nguyễn Chí Thanh, Phường Trà Nóc, Quận Bình Thủy, TP. Cần Thơ (Đối diện Nhà thuốc Trung Sơn).


